Hori Y, Hashimoto T, Wakutani Y, Urakami K, Nakashima K, Condron MM, Tsubuki S, Saido TC, Teplow DB, Iwatsubo T: The Tottori (D7N) and English (H6R) familial Alzheimer’s disease mutations accelerate Aβ fibril formation without increasing protofibril formation. J Biol Chem 282: 4916-4923, 2007

基礎
2006-12-14
201

新しい論文をThe Journal of Biological Chemistryに発表しました

The Tottori (D7N) and English (H6R) Familial Alzheimer Disease Mutations Accelerate Aβ Fibril Formation without Increasing Protofibril Formation

Yukiko HoriTadafumi Hashimoto, Yosuke Wakutani, Katsuya Urakami, Kenji Nakashima, Margaret M. Condron, Satoshi Tsubuki, Takaomi C. Saido, David B. Teplow, Takeshi Iwatsubo

The Journal of Biological Chemistry 282(7):4916-4923 (2007)

First Published on December 14, 2006, doi: 10.1074/jbc.M608220200

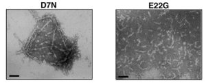
脳内に分泌されたAβが凝集する過程で神経細胞死を引き起こすことは、アルツハイマー病発症に重要なステップであると考えられている。そして近年、神経細胞死を起こすAβの分子種としてprotofibrilと呼ばれる可溶な凝集中間体が注目されている。今回堀らはAβ内部に位置し、家族性アルツハイマー病を引き起こす鳥取型(D7N)、英国型(H6R)の二つの点突然変異に注目し、これらの変異が構造変化の核形成には影響を与えないものの、その後の線維伸長を促進することを明らかにした。さらに線維伸長過程を詳細に検討したところ、二つの変異はArctic型変異(E22G)で見られるようなprotofibril形成の促進(図右)とは異なり、アミロイド線維自身の形成を促進している(図左)ことを見いだした。この結果は、protofibrilだけでなくアミロイド線維形成の促進もアルツハイマー病発症を引き起こすことを意味し、今後Aβ凝集メカニズム解明、そして凝集抑制を指標とするアルツハイマー病根本治療薬の開発に重要な知見を与えるものである。

horiJBC
全研究実績一覧に戻る
PATE TOP